Invisalign® case studies
If you’re considering Invisalign® see these stunning before and after photos from multi-award winning Invisalign expert, Bishopsgate Dental Care in London.
Invisalign® before & after photos in London
Are you are considering Invisalign® treatment?
Before and after Invisalign® photo’s can be useful if you are considering a professional Invisalign® treatment. They can help you imagine how you could look with straighter teeth. However there are some important considerations to decide if Invisalign® is the right treatment for you.
Every Invisalign® treatment is unique. Treatment times and costs can also vary from patient to patient. But if your smile is important to you, Invisalign® dental treatments have helped millions of people around the world regain their confidence.
You can read Invisalign® reviews from previous patients to put your mind at ease and also watch a video of our Principal Dentist Gina talking about the Invisalign treatments she has carried out at her practice in London. If you’re worried about costs, we have payment plans and interest free options, find out more about the cost of Invisalign in London here.
Straightening your teeth discreetly
For many people, ongoing, corrective dental treatments can be a problem. Apart from minor discomfort often experienced with less sophisticated dental care procedures, people can sometimes feel self-conscious if they are wearing visible braces for long periods of time.
The irony of course is that people normally want their teeth straightened because they already feel self-conscious and want to look and feel their best.
This is where Invisalign® invisible braces can help you. With Invisalign® braces from Bishopsgate Dental Care, you could enjoy the feeling of greater confidence in just a few months. Because our clear aligners are nearly invisible, the process is much more discreet than traditional forms of dental braces.
Contact us now and book your free Invisalign® consultation in London and speak with our certified Diamond Invisalign® practitioner Gina Vega.
Booking an appointment is easy at Bishopsgate
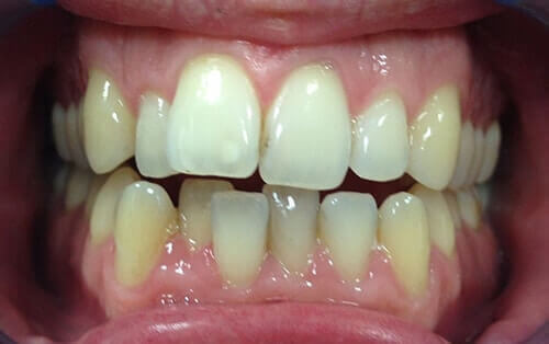
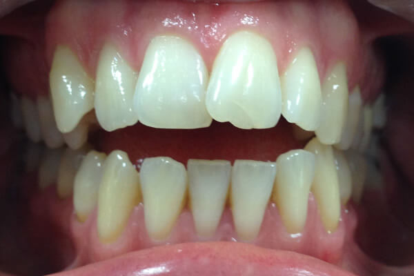
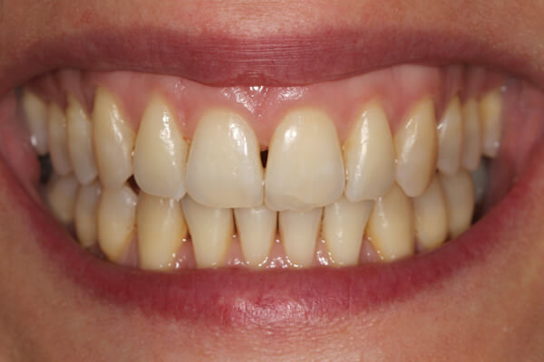
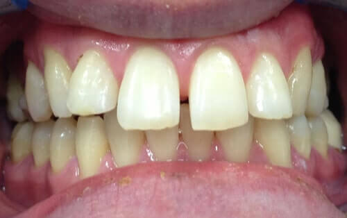
Before and after Invisalign® photos
Name: Ken Age: 32 From: London Treatment time: 18 months
Name: Jo Age: 39 From: London Treatment time: 24 months
Name: Tom Age: 42 From: London Treatment time: 10 months
Name: Ralph Age: 36 From: London Treatment time: 21 months
Name: Pan Age: 17 From: London Treatment time: 7 months
Name: Beth Age: 25 From: Kent Treatment time: 7 months
Name: Mike Age: 27 From: London Treatment time: 10 months
Name: Natasha Age: 25 From: India Treatment time: 15 months
Name: Bel Age: 28 From: London Treatment time: 36 months
Name: Agusto Age: 22 From: India Treatment time: 8 months
Our latest 5* Invisalign Reviews via Google My Business
“Thanks to you all at the practice. I’m very happy with the outcome of my treatment. Very professional and friendly. All the best of wishes.”
– T.T. –
“Had Invisalign treatment and good service throughout treatment and was happy with the results. Always a friendly team with good service — a special thank you to Jen as I had a problem with my fixed retainer placed in by someone else and she made a correction for free which was much appreciated whilst applying my new one. No complaints!”
– Sarah Scrutton –
“I attended the clinic for an invisalign consultation and was very impressed by all of it. Every member of staff from the receptionist to the dentist were very friendly, informative and professional. They did a very thorough consultation and I feel very safe in their hands.”
– Megan Betts –
“A couple of years now since finishing my Invisalign treatment with Gina I still absolutely love my teeth and get comments about how good they are. Really happy with my widened smile — wouldn’t hesitate at recommending Gina and her team they’re all lovely”
– Alice –
Please take a look at our video featuring Gina explaining all about Invisalign and how it works.
Booking Appointments is Easy
Invisalign Video Testimonials
Booking an Appointment is Easy at Bishopsgate
We are known for providing our London patients with premium dental care, personalised appointments, and some of the area’s finest dental practitioners. We open our doors at 8am every weekday, and close for the day at 5pm or later. You can book online or call our friendly team on 0207 377 6762.
We look forward to providing you with an impeccable dental experience.

