Composite Bonding
Composite bonding is a non-invasive cosmetic dental treatment that uses composite resin material to correct and cover minor superficial issues with the teeth.
Composite Bonding at Our Modern London Practice
What is Composite Bonding?
Composite bonding (also referred to as edge or teeth bonding and composite veneers) can enhance your smile much faster than other cosmetic services, with results that last many years. Composite bonding is a quick and effective way to resolve minor cosmetic issues.
In the comfort of our state-of-the-art practice, our expert dentists precisely apply composite bonding to restore the natural appearance of your teeth and help reinstate your confidence.
Teeth with stains, chips, gaps, and minor misalignments may make you self-conscious and reduce the amount you allow yourself to smile. Instead of hiding these imperfections, visit the expert team at Bishopsgate and discover how composite bonding can help create your perfect smile.
Our team can apply, shape, and cure the composite resin material to your teeth in as little as one appointment, hiding the qualities that affect your confidence. Our detail-driven dentists select a shade that matches the natural colour of your smile — providing you with seamless, exquisite results.
An Educational Approach to Composite Bonding Treatment
Our multi-award-winning dental practice strives for exceptional results for every patient at every appointment. We have a patient-centric approach to care, which means you can expect that your safety, preferences, and the education we provide about each service will guide your treatment.
The team at Bishopsgate prides itself on helping you understand our recommendations, which empower you to make confident decisions regarding your dental care. Our team comprises highly-skilled practitioners and dental professionals striving to deliver the best results possible.
Why Choose Bishopsgate for Composite Bonding?
Composite bonding treatment at our conveniently-located London dental practice starts with a consultation, which allows us to tailor your treatment recommendations to your unique requirements.
Other cosmetic dental treatments are available for minor aesthetic imperfections, such as teeth alignment and porcelain veneers. Before we proceed with composite bonding, we want to provide you with an overview of each possible treatment so you know the one you select fits your needs best.
In addition to a modern dental practice where we use the industry’s leading technology and techniques, Bishopsgate Dental Care offers many benefits for our composite bonding patients, including:
- A FREE, no-obligation composite bonding consultation
- Top-tier dental talent who have transformed the quality of many smiles with natural-looking results
- Competitive prices to make sure you get the best value for your money
- Up to 12 months of 0% interest-free credit is available
Booking Appointments is Easy
The Difference Between Composite Veneers and Edge Bonding
Composite veneers are comparable to dental bonding in that both treatments use similar materials, methods, and time. In both cosmetic dental treatments, the dentist applies specially-formulated resin material to the tooth’s surface to improve the aesthetic of one or multiple teeth.
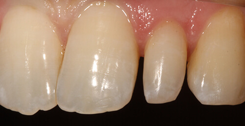
The difference between these treatments is in the application. Composite veneer treatments cover the entire front surface of a tooth. Edge bonding, however, only covers part of the tooth surface.
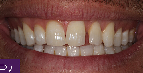
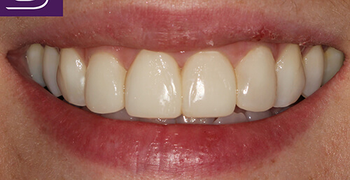
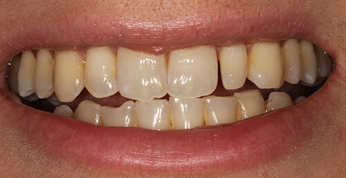
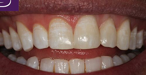
Results from Composite Bonding
Meet Our Expert Dental Bonding Dentists
Dr Gina Vega
Our highly experienced Principal Dentist, Dr Gina Vega (GDC No: 83137), has over 25 years extensive teeth whitening experience and is also a certified Invisalign® Diamond Practitioner.
Through hard work and dedication, Gina has gained an excellent reputation as a trusted general dental practitioner. She has patients from all parts of England for various cosmetic dentistry treatments, such as dental bonding.
She is also particularly passionate about preventative dentistry and working with young adults and children to prevent tooth decay and gum disease, so they can learn how to maintain a healthy smile for life.
Gina strongly believes in minimally invasive dentistry, creating beautiful smiles with minimal impact on the tooth structure. Composite bonding is the ideal treatment for this.
What Our Patients Say
Need Doctify Embed Code HEre & Google Embed Code (Widget)
Booking an Appointment is Easy at Bishopsgate
We are known for providing our London patients with premium dental care, personalised appointments, and some of the area’s finest dental practitioners. We open our doors at 8am every weekday, and close for the day at 5pm or later. You can book online or call our friendly team on 0207 377 6762.
We look forward to providing you with an impeccable dental experience.

