Introducing Icon – the revolutionary treatment for early decay and white spots… without drilling!!

Healthy teeth always make a good impression, it is well known that a nice smile is a sign of good health, make us more attractive and give us confidence.

Therefore, white patches on teeth can be unsightly and annoying especially as they are not always caused by decay.

In order to correct this discolouration, options until now have included invasive treatment and a loss of healthy tooth structure.

But now, thanks to Icon, an entirely gentle, painless and non-invasive method is available.

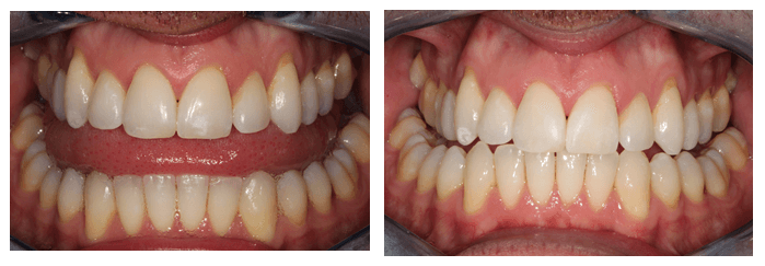
The white spots on this gentleman’s two front teeth shown in the left picture really bothered him but after a simple appointment using Icon you can see in the photo on the right that the white spots completely disappeared and he was really happy with the result and he is more confident smiling now.

icon before after

Icon is an acrylic fluid which is absorbed by the porous enamel, filling the tiny defects and once this is cured with a light, the defects are permanently filled and the white spots are no longer visible.

icon

The Icon infiltration method is not only great for improving aesthetics it can also help prevent the progression of decay to avoid fillings!

It was developed over the course of several years of research, allowing incipient decay to be treated in the early stages without drilling so that the decay process is stopped and the tooth is then protected on a long term basis; if teeth aren’t brushed and cleaned in between properly on a daily basis, certain bacteria are allowed to build up on the teeth to form a plaque biofilm, when sugar is consumed these bacteria metabolise the sugar and convert it into acids which dissolves minerals in the enamel making it more porous and open to further acid attacks. Initially, this is often not noticed as pain only occurs when decay has become established deep within the tooth and forming a large cavity.

Before this happens, it can only be detected by a thorough dental check-up and often x-rays are needed to check in between the teeth.

During a check-up, if a dentist finds areas where the enamel has been damaged they need to consider whether the enamel can be repaired through good oral hygiene, fluoride use and cutting down sugar intake or whether a filling is necessary.

In borderline cases such as this, a filling is not always ideal in some cases such as difficult to reach areas in between the teeth as drilling also damages healthy tooth substance in order to reach the affected area.

icon

The gentle treatment by ICON is a real bonus and the perfect solution for borderline cases as it can repair the damaged enamel in the early stages preventing the spread of decay into a cavity.

This is how it works: a gel is applied over the tooth to prepare it then a highly fluid acrylic (the Icon Infiltrant) is applied over the affected area and absorbed deeply into the enamel

This is then cured with a light and the damaged area is repaired in just one visit without the need for any drilling. Decay can no longer continue to develop as long as a good oral hygiene regime is followed.

Regular check-ups are essential as the earlier the initial damage is detected the better the chance that drilling will not be required at all.

For further information on this great new treatment, make an appointment today.